你是否常常被淚溝、眼袋或黑眼圈困擾,感覺眼周看起來很疲憊?我幾乎每天在診間都會遇到有同樣問題的患者,其實這些問題,大部分是因為膠原蛋白流失或老化造成的,暖男醫師將會教你用30秒簡單方法自我檢測自己的淚溝類型,並說明淚溝醫美如何用玻尿酸、熊貓針等方式有效改善這些凹陷和暗沉,想知道自己適合哪種填充或療程,就繼續看下去吧!

▍搞懂淚溝、眼袋與黑眼圈的三角關係
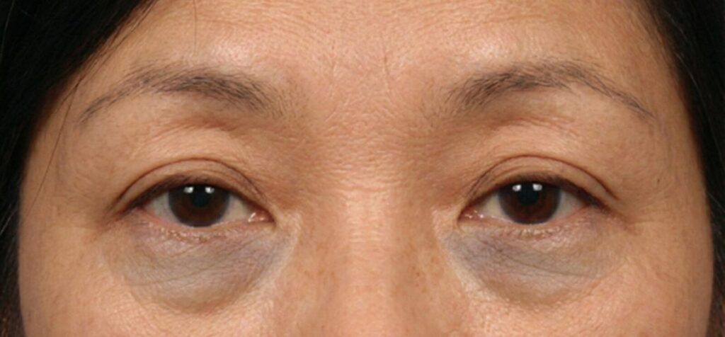
眼周的結構很複雜,很多人分不清楚淚溝、眼袋、還是黑眼圈,每一種問題成因都不同,也需要不同的改善方式,在我的門診經驗中,先判斷是哪一個問題,再透過準確的診斷,才會是治療成功的關鍵。
一張圖看懂眼周結構:淚溝、眼袋、臥蠶的位置差異
很多人會把臥蠶和眼袋搞混,但它們在解剖學上完全不同。
- 臥蠶(Lying Silkworm) 緊鄰下眼瞼邊緣,是由眼輪匝肌收縮形成的約 4 到 7 毫米隆起,笑起來時肌肉收縮會更明顯,讓人看起來年輕、有親和力。
- 眼袋眼代則是眶隔脂肪(Orbital Fat)因為老化或遺傳,突破了筋膜的限制而向外凸出,摸起來像是一團軟軟的水球,位置在臥蠶下方,不論笑或不笑都會存在。
- 淚溝(Tear Trough)淚溝是一條從內眼角延伸到臉頰的凹陷,這其實是淚溝韌帶(Tear Trough Ligament)與骨膜緊密沾黏的地方,當我們年輕時,皮下脂肪豐富,這條韌帶被蓋住看不出來;但隨著年紀增長,深層脂肪墊(SOOF)流失,肌膚變薄,這條強韌的韌帶就會像一條緊繃的繩子拉住皮膚,形成一道明顯的陰影。

為什麼會有淚溝?先天結構與後天老化的影響
淚溝的出現往往是「先天結構」與「後天老化」交互作用的結果。
我常觀察到,天生眼眶骨邊緣比較後縮,或是蘋果肌骨骼發育較平的人,年輕時就容易出現淚溝,這就是所謂的結構型淚溝,這類人即使睡眠充足,眼下還是會有兩道深深的陰影,後天因素則加速了這個過程。
根據皮膚科醫學研究,過了25歲後,膠原蛋白每年以1%的速度流失,眼周肌膚又是全臉最薄的部位,僅約0.5毫米,因此最先反映人們的老化,如果有長期的過敏性鼻炎也會導致眼周靜脈循環不良,加重血管型黑眼圈,視覺上讓淚溝看起來更深,加上熬夜追劇、長時間使用3C產品,眼輪匝肌過度疲勞,會加速眼周軟組織的鬆弛,讓「淚溝+眼袋」的複合型問題提早報到。
▍自我檢測教學!30秒判斷你是哪種類型?
想知道你的眼周問題屬於哪一種嗎?跟著我,30秒快速檢查,就能發現凹陷、脂肪或色素的差異。這個步驟能幫助你在諮詢時更精準地溝通需求。
燈光測試法:是色素沉澱還是凹陷陰影?
你可以利用手機的手電筒來分辨是「真的黑」還是「看起來黑」,找一個光線均勻的地方,拿起鏡子,將光源從臉部的正前方移動到側面,再從上方移動到下方:
- 如果眼下的黑影隨著光線角度改變而消失或變淡 👉 淚溝型黑眼圈(結構型)(適合填充)
- 如果不管光線怎麼照,顏色深淺都沒有改變 👉 色素型黑眼圈(適合雷射)

觸摸測試法:分辨眼袋脂肪與淚溝凹陷
視覺判斷後,觸覺是第二道防線,請用你的食指指腹,輕輕按壓眼下鼓起或凹陷的區域:
- 1. 分辨眼袋:如果按壓眼下隆起處,觸感是軟軟的、像水球一樣,且按壓時沒有明顯的肌肉彈性,這通常是眼袋脂肪。你可以試著將眼球往上看,如果眼袋凸出更明顯,代表脂肪膨出狀況較嚴重。
- 2. 分辨淚溝:摸摸看眼眶骨邊緣,如果你能感覺到皮下有一條明顯的溝槽,且按壓時直接觸摸到骨頭的硬感,那就是淚溝凹陷。
- 3. 分辨臥蠶:對著鏡子用力微笑,如果在睫毛下緣有摸到一條緊實、有彈性的肌肉隆起,那就是臥蠶。
專業醫師在評估時,還會進行「推推看」的測試,判斷皮膚的鬆弛程度(Snap Test),以決定是需要單純填充,還是需要合併緊緻療程。
複合型淚溝:最常見的「眼袋+淚溝」該如何處理?
臨床上最棘手的往往是「複合型淚溝」,也就是眼袋與淚溝同時存在,這就像是山峰(眼袋)旁邊緊鄰著山谷(淚溝),高低落差讓陰影更加劇烈,這時候如果只是一味地填補淚溝,很容易因為眼袋本身的膨脹,導致眼下變成一片平坦但浮腫的區域,失去立體感。
針對這種情況,我建議的治療策略是
「先減法,後加法」
減法:移除或轉位脂肪 (眼袋手術)
加法:利用玻尿酸或膠原蛋白支撐 (修飾淚溝)
如果眼袋脂肪過多,建議先透過眼袋手術移除或轉位脂肪(減法);如果是輕微眼袋,則可以利用支撐力較強的玻尿酸或膠原蛋白增生劑,在淚溝深層進行支撐,利用視覺上的落差修飾(加法),對於嚴重的皮膚鬆弛,我常建議合併音波拉提(Ulthera)或電波拉提(Thermage FLX),先收緊眼周筋膜,再進行微調填補,效果會最自然。

▍淚溝醫美解決方案:玻尿酸 vs. 膠原蛋白增生劑&熊貓針
選擇填充材質,會影響你的恢復速度與維持時間,近年來的醫美趨勢更強調「客製化」,不同材質有不同的適應症,以下是我針對目前台灣合法主流產品的分析。
玻尿酸(Hyaluronic Acid)—— 立即填充與支撐
玻尿酸是目前最普遍的淚溝治療選擇,它的優勢在於「可逆性」與「立即性」,對於單純的凹陷型淚溝,我傾向使用小分子、低吸水性的玻尿酸品牌,這類玻尿酸吸水後不易過度膨脹,能精準模擬眼下脂肪的觸感。
玻尿酸注射後效果立即可見,恢復期極短,通常約 3-7 天消腫,維持時間約 6 到 12 個月,為了避免著名的「廷得耳效應(Tyndall Effect)」,也就是眼下泛藍光,醫生通常會採用深層注射的原則,將玻尿酸打在骨膜上層做支撐,而非淺層皮膚,這樣能大幅降低水腫與藍光風險。
熊貓針 & 膠原蛋白增生劑 —— 遮瑕與膚質改善
如果你不僅有凹陷,還有黑眼圈或細紋困擾,「熊貓針」或「膠原蛋白增生劑」是更好的選擇。
- 熊貓針 (雙美膠原蛋白 Sunmax): 這是專門針對「黑眼圈型淚溝」設計的活性膠原蛋白,其最大的特色在於乳白色的不透光質地,注射後就像在眼下打了一層「固態遮瑕膏」,能直接遮蓋血管與黑色素,具有極低的吸水性,術後不易像玻尿酸那樣水腫或泛藍光(廷德爾效應),此外,膠原蛋白降解後產生的胺基酸能抑制黑色素生成,達到持續養膚與淡化黑眼圈的雙重效果。
- 膠原蛋白增生劑 :這類產品進入皮膚後會刺激自體膠原蛋白生長,市面上常見的品牌包括艾麗斯、洢蓮絲、薇貝拉及舒顏萃等,針對眼周問題,它們的作用不僅是填充,更能增加眼下皮膚的厚度與緊實度;當皮膚變厚了,底下的血管顏色就不容易透出來,能從結構上改善細紋與黑眼圈,效果通常比傳統填充更自然且長效。
淚溝醫美綜合評比:維持時間、價格區間、適用族群
以下整理目前台灣市場的熱門療程比較,價格僅供參考,實際費用會因診所與醫師技術而異:
| 比較項目 | 玻尿酸 | 熊貓針 (雙美膠原蛋白) | 膠原蛋白增生劑 |
|---|---|---|---|
| 主要成分 | 交聯型透明質酸(凝膠狀/顆粒狀) | 活性膠原蛋白(乳白色固態) | 聚左旋乳酸(PLLA)、聚雙旋乳酸(PDLLA)等微球體 |
| 作用原理 | 「物理支撐」:直接把凹陷處撐起來,利用吸水性維持體積。 | 「遮瑕+營養」:填補凹陷並利用乳白色遮蓋黑眼圈,降解時提供皮膚營養。 | 「誘導生長」:刺激皮膚自行生長膠原蛋白,使眼周皮膚變厚、變緊實。 |
| 適合族群 | 1. 單純凹陷極深者 2. 想要立即見效、定型力強 3. 無明顯黑眼圈困擾 | 1. 淚溝+嚴重黑眼圈 (血管/色素型) 2. 眼下皮膚極薄 | 1. 眼下有細紋、鬆弛老化 2. 想要效果自然漸進 3. 追求維持時間長 |
| 維持時間 | 約 8 ~ 12 個月(眼下活動少,有時可維持更久) | 約 4 ~ 6 個月(代謝較快,建議初期需補打疊加) | 約 18 ~ 24 個月(依個人膠原蛋白生成狀況而定) |
| 價格區間 | NT$ 12,000 ~ 20,000(每 1cc / 支) | NT$ 15,000 ~ 20,000(每 1cc / 支) | NT$ 20,000 ~ 40,000(視產品而定) |
| 潛在缺點 | 若皮膚太薄或打太淺,容易泛藍光 (廷德爾效應) 或水腫。 | 維持時間較短,需頻繁施打,長期成本較高。 | 若醫師技術不當,極少數可能產生結節。 |
▍淚溝治療後的恢復期與注意事項
注射過後~48 小時: 注射部位可能會有些許紅腫、緊繃感,或是有極微小的針孔。
3 ~ 7 天: 若有輕微瘀青(通常呈淡紫色或青色),大約會在週內完全消退。此時填充物會開始與組織融合,觸感會變自然。
2 週: 效果最穩定、最自然的時期。
淚溝醫美術後恢復要點
不論哪種方式,良好的護理能縮短恢復時間:
禁忌動作: 術後一週內切勿用力揉搓眼睛或按摩治療部位,避免填充物移位
生活習慣: 保持充足睡眠,避免熬夜。睡覺時可稍稍墊高頭部,有助於水分代謝、減輕腫脹
飲食注意: 術後一週建議飲食清淡,減少攝取過鹹食物(防止水腫)以及辛辣、菸酒(避免發炎)
- 注射後一週內避免去高溫場所(如溫泉、三溫暖),以免代謝過快或影響塑形。
▍為什麼有人打完淚溝變「毛毛蟲」?揭開失敗的真相
有些人填補淚溝後,眼下出現不自然的腫塊或條狀感,甚至笑起來有兩條明顯的突起,這就是俗稱的「毛毛蟲」,這通常不是產品的問題,而是出在醫師的施打技術與細節。
⚠️ 淚溝填補的三大雷區:填太淺、量太多、材質選錯
- 眼下皮膚極薄,對填充物非常敏感,最常見的淚溝填充失敗原因是「層次過淺」,如果將玻尿酸打在眼輪匝肌淺層,隨著表情肌肉收縮,填充物就會被擠壓成條狀。
- 其次是「劑量過多」,許多人以為填越飽越好,但眼周空間有限,過量的玻尿酸會吸水膨脹,導致泡泡眼。
- 最後是「材質錯誤」,選用了吸水性太強或顆粒太硬的玻尿酸,容易造成術後長期的水腫與異物感。

關鍵在於「深層支撐、淺層修飾」的層次技術
要避免毛毛蟲,我通常都會建議使用「三明治施打法」。
首先,利用支撐性較好的材質,在深層骨膜上方建立地基(Deep Support),將塌陷的韌帶撐起來,這一步能解決大部分的凹陷,且深層注射幾乎摸不到異物感,接著,再使用柔軟的小分子材質,在淺層脂肪處進行極少量的修飾(Superficial Refinement),平滑表面。
這種分層技術不僅能讓淚溝平整,還能保留臥蠶的自然形態,但大原則是「寧缺勿濫」,如果不確定劑量,我通常建議少量多次施打,分多次調整,這比一次打過量後再用降解酶溶掉要安全得多。
什麼是「廷得耳效應」?如何避免眼下泛藍光?
如果你在光線下看到眼下填充處透出青藍色的光澤,那就是「廷得耳效應(Tyndall Effect)」,這是因為光線穿過皮膚照射到透明的玻尿酸時產生了散射,這通常發生在皮膚較白、較薄的患者身上,或者是玻尿酸打得太淺。

預防勝於治療。除了選擇不易產生光學散射的產品,控制注射深度是關鍵,如果不幸發生了,輕微的可以用熱敷加速代謝,嚴重的則需要注射降解酶(Hyaluronidase)來溶解玻尿酸,雖說這是一個可以完全補救的問題,但誰都不希望發生,所以慎選有經驗的醫師很重要。
▍挑選淚溝醫美醫師的 3 個黃金指標
選對醫師,做對淚溝填補,效果真的差很多,在台灣,醫美診所林立,要如何篩選出真正懂眼周美學的醫師?暖男建議從以下三個指標觀察。
1. 經驗值:是否熟悉眼周解剖構造
眼周佈滿了複雜的血管與神經,一位專業的醫師,必須對這些危險區域瞭若指掌。
你可以詢問醫師關於「淚溝韌帶」與「眼輪匝肌」的處理方式,真正有經驗的醫師,會解釋他如何避開血管,並利用鈍針(Cannula)技術來減少瘀青與血管栓塞的風險。

2. 美感評估:是否考量動態表情
在諮詢時,醫師如果只讓你看著鏡子發呆,那是不夠的。專業的評估過程,醫師會請你做表情(微笑、大笑、瞇眼),觀察肌肉收縮時淚溝的變化,好的淚溝治療,是在你大笑時,眼下依然平順自然,且不會破壞原本好看的結構。
3. 綜合治療能力:是否能合併處理眼袋或其他眼周問題
單一療程往往無法解決所有問題,一位全方位的醫師,不會只推銷你打玻尿酸。具備「複合式治療」思維的醫師,能根據你的預算與狀況,規劃像是「玻尿酸支撐 + 熊貓針養膚」這種整體性的規劃,才能讓你美得安心又持久。
▍淚溝醫美常見問題
淚溝醫美療程完會有瘀青或恢復期嗎?
這是微整注射最常見的副作用,眼周血管豐富,即使技術再好,仍有微血管破裂導致瘀青的可能。
一般來說,針孔處的紅腫約 1-2 天消退,瘀青則約 3-7 天會轉黃消失,我會建議在療程後的前 48 小時進行冰敷,幫助收縮血管、減少腫脹;48 小時後再改為溫敷,加速瘀血代謝。
如果是淚溝加眼袋,是不是只能開刀?打針是不是浪費錢?
關鍵在於「眼袋的大小」與「您的要求」。
- 輕微眼袋(適合打針): 如果眼袋只是微微凸起,我們可以利用玻尿酸或熊貓針填補下方的淚溝凹陷,這就像「把山谷填高,旁邊的山峰看起來就不高了」,視覺上能有效修飾。
- 嚴重眼袋(建議開刀): 如果眼袋非常大且鬆弛,這時候如果硬要用打針來遮,反而會讓眼下變成「一大坨」,看起來腫腫的像金魚眼。這種情況下,勉強打針確實可能浪費錢且效果不佳。
- 因此建議還是現場評估最準,如果您不想開刀,我們可以先試試看「修飾淚溝」,但要有心理準備只能改善約 60-70%,無法像手術那樣完全平整。
淚溝有辦法透過保養品改善嗎?
效果有限,針對真正的「結構型淚溝」,保養品效果微乎其微。
淚溝的形成通常是因為「膠原蛋白流失、脂肪萎縮、骨骼支撐減少」以及「韌帶拉扯」造成的凹陷,保養品(眼霜、眼膜)只能作用在皮膚表層,幫助保濕、淡化細紋或色素,但它無法「長出肉」來填補凹陷,也無法「放鬆韌帶」。
但是,保養品是很好的「輔助」。醫美填充解決了凹陷後,持續擦眼霜能讓眼周皮膚更細緻、細紋更少,整體看起來會更年輕,因此記得:凹陷要靠「填充」,細紋才靠「保養」。
是不是要打很多支才有效?我的預算有限怎麼辦?
眼下通常是全臉用量「最省」的部位。
眼下空間很小,皮膚很薄,打太多反而會變成眼袋或不自然,通常針對單純淚溝,1cc 的劑量往往就足夠分配給兩隻眼睛了。
如果預算有限,您可以選擇「先解決最深的那條溝」,例如先用一支玻尿酸或熊貓針集中處理淚溝最凹陷處,就能達到 70-80% 的改善效果,讓人看起來精神很多。不需要一次追求完美打好幾支。
而暖男的建議是,與其打便宜但容易位移的品牌,不如集中預算打一支好的劑量,效果更好且更持久。
如果以後沒繼續打,淚溝會不會變得比原本更明顯?
這是常見的迷思,答案是:不會,您只是「慢慢變回原來的樣子」。
填充物代謝掉之後,皮膚空間會慢慢縮回,並不會因為曾經撐開過就鬆掉(除非單次施打過量撐壞皮膚,但正規微量填充不會)。
但需要注意的是,無論是玻尿酸或熊貓針,在體內停留期間都會多少刺激組織反應或提供營養,所以就算幾年後完全代謝了,您的眼下狀況通常還是會比「完全沒打過且自然老化幾年後」的狀態來得好一點點。
那為什麼有人會覺得打完後過一段時間,淚溝反而變得更明顯?
會有這種感覺,通常是因為您已經習慣了「變美後」的樣子,當它慢慢消退回到原狀時,心理上會覺得好像變醜了,但其實只是回到了起點。
▍找回明亮雙眸,從精準評估開始
每個人的眼周問題都不太一樣,有時候是淚溝,有時候是眼袋或黑眼圈。先自我檢測,再選對醫美材質和方式,這樣效果會更自然。專業的評估和治療很關鍵,讓雙眼回到年輕明亮不是夢。如果有困擾,真的可以考慮諮詢專業醫師,一起找出最適合自己的方法。

中華台灣美容醫學醫學會會員醫師、台灣微整型美容醫學會會員醫師、曾獲百大線雕名醫金線獎、曾獲亞太醫美金像獎、美國STRATAFIX魚骨線教學講師、提美拉MIRACLE原廠認證教學講師、德國MERZ Radiesse晶亮瓷進階注射教學講師、秘特線MINT原廠認證醫師、ThermageFLX鳳凰電波拉皮治療原廠認證醫師、Ultheraphy極線音波拉皮治療原廠認證醫師



